알츠하이머란 무엇인가?
신경 세포 외부의 아밀로이드베타플라크 (노인반) 을 이루고 있는 아밀로이드베타 (Aβ) 단백질
신경 세포 내 신경섬유다발 (neurofibrillary tangles) 을 구성하는 과인산화 Tau 단백질


알츠하이머병 환자의 뇌 속에 아밀로이드베타 (Aβ),
과인산화 타우단백질 (p-Tau) 의
응집 관찰
현재 널리 상용화된 치료제는 증상 완화를 목적으로 개발 된 의약품이므로, 근본적 원인 치료가 불가능합니다.
신경 퇴화 진행이 멈추거나 인지 기능이 개선될 수 있는 치료제가 필요합니다.
국내외 유병률 및 시장 규모
자료 : US Census Bureau, Alzheimers Association, etc.- 유병률
-
65세 이상 치매환자중 약 70%는 알츠하이머에 의한 치매
국내 65세 이상 노인의 치매 유병률 약 10.33% (2021년 기준)
글로벌 65세 이상 노인의 치매유병률 약 10.7%
- 시장규모
-
미국 시장 규모 : 2050년 기준 약 $ 129 Billion
세계 시장 규모 : 2050년 기준 약 $ 2,688 Billion
국가 별 알츠하이머 환자 추이
지료 : Johns Hopkins Medicine Inhealth, homepage
- America
- Asia
- Africa
- Europe
전세계 알츠하이머 환자추이
전세계 치매 유형별 분포
알츠하이머 치료의 새로운 시대,
혁신적인 듀얼 타겟 기술로 미래를 열어갑니다.
| 기능 | 개발약품 | 개발 상황 |
|---|---|---|
| Aβ 제거 |
Aducanumab (Biogen) | 조건부 승인 (2021년) 시장 철수 (2023년) |
| Lecanemab (Biogen-Eisai) | 승인 (2023) | |
| Gantenerumab (Roche) | 임상 3상 실패 | |
| Donanemab (Eli Lilly) | 승인 (2024) | |
| Tau 생성 억제 |
LMTX (TauRx) | 임상 3상 진행 |
| Verubecestat (Merck) | 임상 3상 실패 |
AL04는 무엇인가?
우리의 차세대 후보 물질, AL04는 Amyloid-β와 p-Tau를 동시에 타겟팅합니다.
- Dual Action Therapy Platform 적용
-
아밀로이드 베타 (Aβ) 플라그 억제과인산화 타우 단백질 (p-Tau) 엉킴 억제
- 융합 단백질 치료제 (Fusion Protein)
-
인간혈청알부민 (Human Serum Albumin) 융합단백질: 반감기 증가로 치료제의 지속성 (Sustainability) 기대
- 뇌혈관 장벽 (Blood-Brain Barrier) 통과
-
세포 투과 펩타이드를 포함하여 뇌혈관 장벽 (BBB) 통과 가능
이중 기능 합성 단백질 (Dual Action Therapy Platform)
AL04의 타겟 : 아밀로이드 베타 (Aβ) 와 과인산화 타우 단백질 (p-Tau)
- CysC (Cystatin C)
-
기능성 단백질 CysC을 통한 이중 기능 (Dual Action) 치료제
아밀로이드 베타 (Aβ) 플라그와 과인산화 타 단백질 (p-Tau) 엉킴 억제
- HSA (Human Serum Albumin)
-
HSA (인간혈청알부민) 을 통한 단백질 체내 반감기 증가
: 치료제의 효능 지속력 강화
- CPP (Cell Penetrating Peptide)
-
CPP (세포 투과성 펩타이드) 을 통한 뇌 혈관 장벽 통과
AL04는 뇌 내 Aβ(아밀로이드 베타) 침착을 감소시킵니다.
Tg2576 mice : 스웨덴 이중 돌연변이(K670N, M671L)가 도입된 인간 APP(아밀로이드 전구 단백질)를 과발현한 생쥐

아밀로이드 베타 (Aβ) 가 다수 존재하는 쥐의 뇌

감소한 아밀로이드 베타 (Aβ) 분포
Reducing amount of Aβ in Hippocampus
- AL04는 해마(hippocampus)와 내후각 피질(entorhinal cortex) 내의 Aβ 침착을 감소시킵니다.
- AL04는 해마 (hippocampus)에서 신경세포와 연관된 Aβ 축적을 완화시킵니다.
- AL04는 Aβ 침착에 수반되는 신경 염증 손상 (neuro-inflammatory damage)을 완화할 수 있습니다.
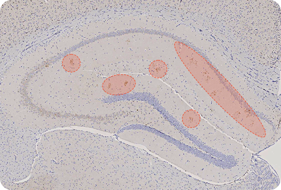
AL04는 과인산화 타우 신경섬유 엉킴을 감소시킵니다.
JNPL3 생쥐 : 과인산화된 타우 축적 모델로, 6개월 동안 2주 간격으로 5 mg/kg 농도의 AL04를 복강 주사하였습니다.

과인산화 타우 (p-Tau) 단백질이 다수 존재하는 쥐의 뇌

과인산화 타우 (p-Tau) 단백질의 양 감소
Reducing amount of p-Tau in Hippocampus
- AL04를 투여한 후, JNPL3 생쥐의 해마와 내후각 피질 층에서 면역조직화학 분석을 통해 과인산화 타우와 타우 신경섬유 엉킴이 감소한 것을 확인할 수 있었습니다.
- 웨스턴 블롯 분석 결과, JNPL3 생쥐 뇌 실질 전체 균질액에서 과인산화된 타우가 감소한 것을 확인할 수 있었습니다.
